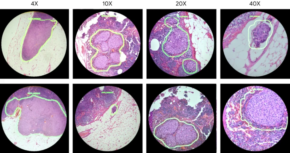
In a pioneering collaboration, Google and the Department of Defense have introduced an innovative technology known as the “Augmented Reality Microscope” (ARM). This state-of-the-art tool leverages artificial intelligence to enhance real-time visuals, overlaying crucial indicators such as heatmaps and object boundaries. The primary purpose of this advancement is to facilitate the classification of samples and detection of cancer cells or pathogens.
First unveiled in 2018, the ARM is currently in an intensive testing phase with 13 active prototypes. It’s worth noting that this technology has not yet been implemented for patient diagnosis. The ultimate goal is to incorporate this sophisticated system into standard light microscopes used in medical facilities. The ARM provides a variety of visual enhancements, including text overlays, directional cues, contour highlights, heat maps, and animated graphics, all customizable to meet specific assessment needs.
CNBC has reported that the Defense Innovation Unit, a part of the Department of Defense, has made deals with Google. These deals are about sharing a new tool called the Augmented Reality Microscope (ARM) with the military. The ARM might be available to some people in the government by this fall. It’s expected to cost between $90,000 and $100,000, which could be too expensive for local health centers.
Google Health is known for investing in tools that use artificial intelligence (AI) to help doctors do their jobs better. They often work with new companies that are also interested in using AI to improve healthcare. In the last ten years, Google has spent more than $200 billion on these kinds of investments. This is important because the World Health Organization thinks there will be 15 million fewer healthcare workers than we need by 2030.







